Strona główna
·
Statystyka/Kartografia
·
Pytania
·
Łamigłówki
·
Gadżety
·
Wykłady
·
Nauka
·
Zabawne
·
Szukaj
Statystyka/Kartografia
·
Pytania
·
Łamigłówki
·
Gadżety
·
Wykłady
·
Nauka
·
Zabawne
zdrowie-medycyna
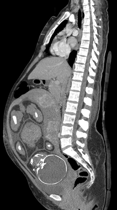
Tomografia komputerowa kobiety w ciąży
Badanie rentgenowskie klatki piersiowej w 1914 roku
Profesor Yumam Fong stworzył wirusa CF-33, który będzie niszczył wszystkie komórki rakowe
Uwaga! kleszcze - infografika
NASA sporządziła listę najlepszych roślinek do oczyszczalnia powietrza w domu
Co by się stało, gdybyś nie spał (ang.)
Rysunek przedstawiający amputacje krok po kroku (prawdopodobnie koniec XIX wieku)